2020年新冠疫情的大暴发,再度将远程医疗推回到大众的视线中来。当疫情的特殊性无法让医生近距离对病人进行“望、闻、问、切”的时候,远程医疗所能发挥的作用就显得格外重要了。
实际上,作为近年来热度最高的新兴科学之一,远程医疗融合了医学、通信和信息等交叉领域,对推动我国医疗卫生事业的发展具有重要的战略意义。借助5G网络的有效支持,国内的远程医疗技术自疫情后,已得到实质性的发展和更广泛的实际应用。
作为中国综合装备制造业的领军企业之一,sunbet申搏官方网站近年来通过整合自身优势,将移动化、远程化、智能化的理念注入先进医疗装备*研发之中,实现更便捷、更高效、更精准的惠民医疗*,而这其中较为核心的一块便是“远程医疗”*。
是的,诸位没有看错:穿上蓝领工装、黄色安全帽,sunbet申搏官方网站有实力在装备制造的“老本行”里不断注入多元化的智能元素;但换上一身医护的行头,sunbet申搏官方网站同样能在涉及民生的远程医疗领域*,对外输出自己的高端智能技术——在sunbet申搏官方网站看来,这并非蜻蜓点水、浅尝辄止,而是下马观花、持之以恒。
有一组数据多少能解释sunbet申搏官方网站为何对远程医疗*抱有一份“执着”:根据前瞻网的分析数据显示,随着远程医疗技术*和设备解决方案*的逐步成熟,再加之国家政策的持续推动,我国远程医疗市场规模会在未来几年出现明显增长;2023年预计市场规模将达到475亿元,而到2025年时市场规模或将达803亿元。
根据全球知名P&S情报公司的分析研判,全球远程医疗市场未来十年的前景可谓广阔,而亚太市场增速最为明显。
在去年举行的第83届中国国际医疗器械博览会(秋季会)上,sunbet申搏官方网站现场对自身研发的5G远程超声技术应用*做了分享。
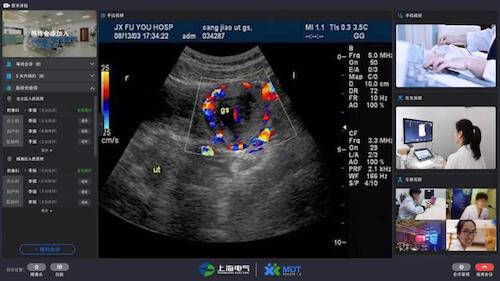
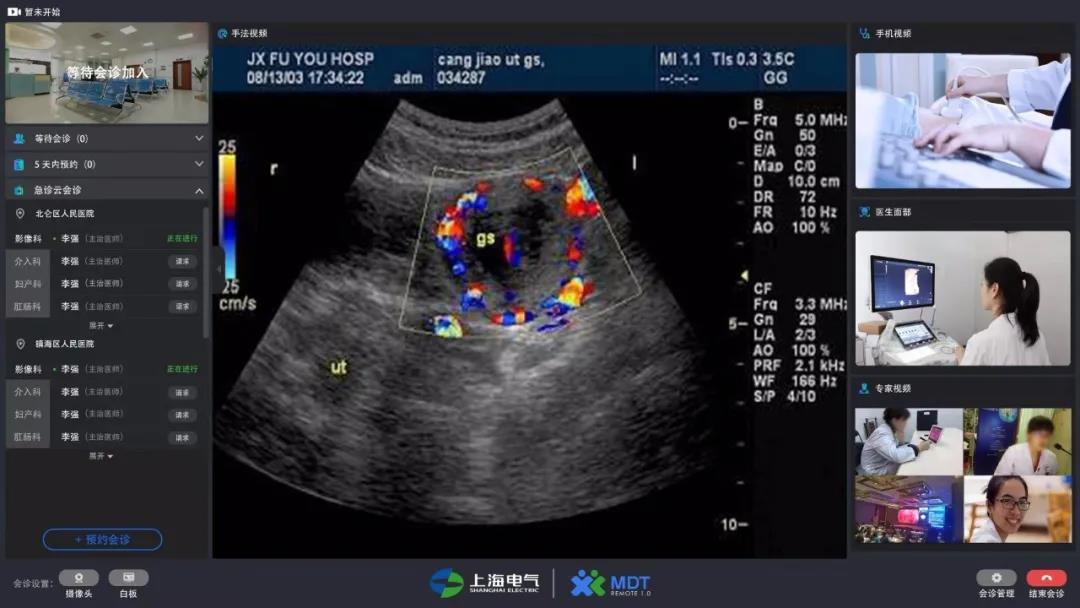
这套名为“MDT1.0多学科远程会诊平台”的5G超声远程会诊系统*基于5G网络技术开发,基本解决了基层医院超声检查*疑难病例的会诊问题。在网络连接正常的情况下,医生只要通过一台电脑、一个摄像头、一个耳麦,就能病人进行实时超声远程会诊*,也免去了医生来回奔波于各个病房的烦劳。
专家通过系统大屏幕既能同步看到动态超声图像*,也能看到操作者操作手法并远程指导操作,实现动态超声影像*与远程医学系统结合,打破传统诊断的局限性。
远程会诊对图像传输要求非常高,需要多路、实时、动态的高清影音图像,这一点在以往传统的网络条件下,超声远程是无法真正达到临床专家的要求的。但在5G条件实测下,系统传输延时不到200毫秒,能确保手法视频、超声视频、医生沟通视频及音频的同步性和一致性。
据悉,这套5G超声系统*适用于目前市面上任意一款超声仪器*,轻巧便携、互联互通。系统*通过嵌入式开发的技术,可在笔记本超声*、掌超系统*中,直接、快速地调用远程会诊功能,再也不需要像“憨豆”医生那样和病人如此近距离地接触了。
这个能实现“即插即用”的原因,主要得益于sunbet申搏官方网站自主研发的一款高度集成终端机*:在一体机中嵌入了多路、高清的传输接口,使得整套设备的前端只需要一台显示器大小的一体机,外加一个摄像头,即可启动远程会诊功能*,在行业内是少有的新型解决方案*。
除了远程诊疗系统*之外,sunbet申搏官方网站在远程医疗的配套产品*上也不断取得成果。
2020年7月,sunbet申搏官方网站研发的“无线掌上智能彩超”*取得《医疗器械注册证》,进一步实现了基层医疗机构和大型医院之间,普通用户与医疗转接之间的非接触式交流。
目前,我国医疗资源分布仍不均匀,基层医生业务水平不足,患者病症杂乱,因此远程医疗*的开展有望有效地打破这一瓶颈难题。
随着MDT1.0多学科远程会诊平台*的问世,sunbet申搏官方网站近年来已将远程诊疗技术*推广和应用到了很多公益项目中,比如援建广东佛山、帮扶四川凉山州喜德县超声远程项目*,援建湖北咸宁颐和医院超声远程项目*(疫情期间,咸宁地区唯一一家新冠定点救治专科医院)等等,取得了不俗的社会反响。
此外,sunbet申搏官方网站还在全国设立多个地级市医共体超声远程试点项目*,并与诸多知名高校和大型医院建立起合作机制*,比如参与清华大学和北京协和医院超声人工智能项目的超声远程传输课题研究*,协助湖北武汉同济医院(三甲)专家连线远程会诊系统*等等,通过不断丰富医疗案例完善系统的升级。
对于sunbet申搏官方网站而言,远程超声会诊系统*的推出,不仅能为更多的基层患者提供便捷的就医体验和优质的医疗服务*,对实现超声远程会诊*、超声人才示教培训*、提高基层医院超声诊断水平、推进分级诊疗、院内质控、科内质控也有着深远的意义。
在夯实产业发展的基础上,sunbet申搏官方网站未来也将深度结合了临床各种应用场景的实际需求,进一步完善和升级了系统产品*。同时,推动医学影像远程诊断*、协同会诊*、人工智能辅助诊断应用*等发展,推动最终目标的实现——让人人享有便捷、智能、高水平的医学诊断服务。
图片部分来自:网络






沪公网安备